magicalceylontours.com
HOME
About
Contact
Disclaimer
Privacy
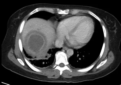
Ameba Liver Abscess Diagnosis
Oct 13, 2025
by magicalceylontours.com
101
views